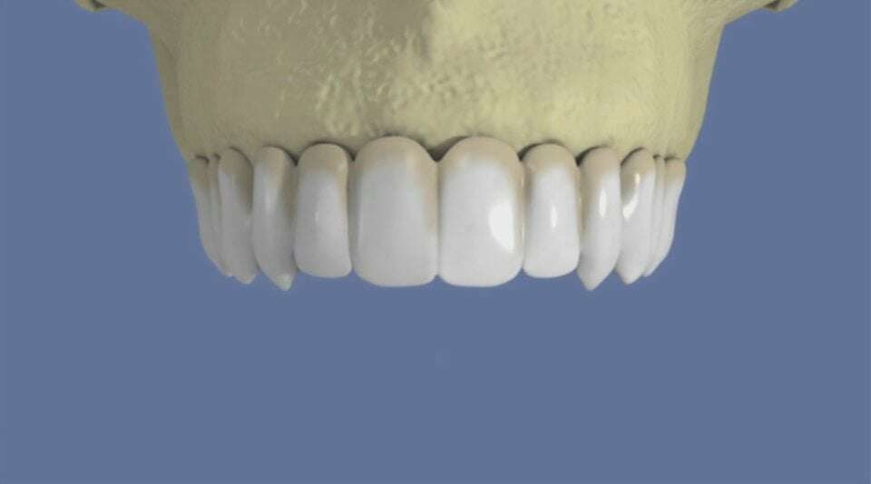
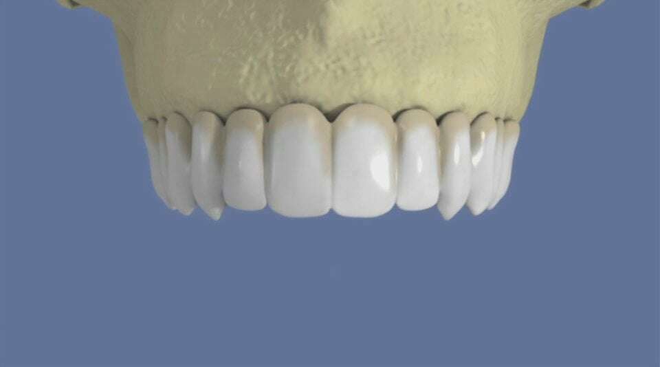
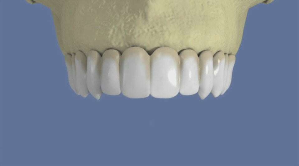
Maxillaire : bridge vissé sans fausse gencive


video-play-icon

Articles similaires

Derniers articles

Maxillaire : all-on-4

22 Déc 2025

Comblement de sinus par voie latérale et implantation simultanée

22 Déc 2025

Mandibule complète et traitement implantaire pour un bridge fixe vissé

22 Déc 2025

Catégories

Création par Webdentiste

Connexion