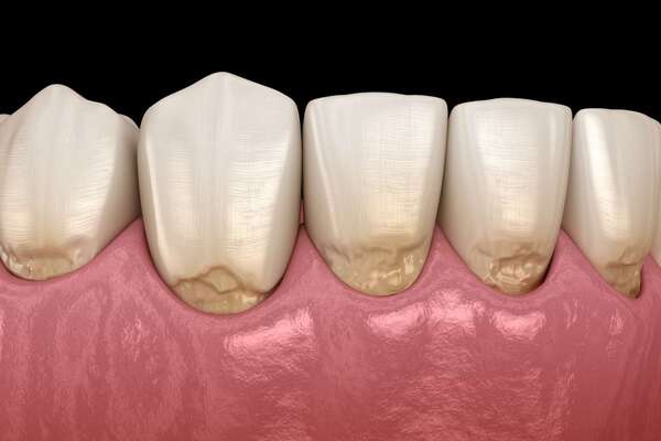
Les maladies parodontales touchent les tissus de soutien des dents (gencive, os, ligament). Comment s'installent-elles et comment y remédier ?
Fiches conseils - Page 8
Différents traitements permettent la régénération de l’os et l’amélioration de l’esthétique de la gencive.
Les freins de la langue ou de la gencive sont des éléments en tissu fibreux situés sous la langue ou reliant la lèvre supérieure à la gencive.
Pour garder une bouche saine, il faut adopter une alimentation équilibrée. Et surtout, éviter les grignotages entre les repas.
L’endodontie s’attache à la prévention, au diagnostic et au traitement des maladies de la pulpe dentaire.
Une dent dévitalisée et soignée peut s’infecter et nécessiter une reprise du traitement de la racine ou « retraitement endodontique ».
Les personnes atteintes de diabète ont un risque accru de développer les premiers stades de
la maladie parodontale. Quelles sont les précautions à prendre ?
Les lambeaux d’assainissement sont un traitement chirurgical permettant de traiter une parodontite (déchaussement des dents).
La dysfonction de l’appareil manducateur, ou DAM, désigne les troubles musculaires et articulaires de la mandibule (mâchoire inférieure).
La totalité des dents des deux maxillaires constitue un ensemble stable et la perte d’une seule dent peut perturber tout l’équilibre de la bouche.
La mylolyse ou lésion cervicale d’usure se définit comme une perte de matière dentaire se localisant au collet de la dent.
Un kyste dentaire se présente en général sous la forme d’une masse arrondie ou ovale située à la racine de la dent.
Catégories
- Fiches conseils (154)
- Vidéos 3D (56)











